
- 발목 염좌의 정의와 증상
- 발목 염좌란 무엇인가
- 주요 증상 및 단계별 평가
- 발목 염좌 발생 원인과 위험 요인
- 주요 원인 분석
- 위험 요인과 예방 조치
- 효과적인 치료 방법과 응급처치
- 초기 대응 방법
- 약물과 물리 치료
- 재활 운동으로 발목 강화하기
- 재활 운동의 중요성
- 근력 및 균형 감각 훈련
- 생활 습관 개선으로 예방하기
- 올바른 신발과 스트레칭
- 체중 관리 및 올바른 자세
- 같이보면 좋은 정보글!
- 추간판 탈출증의 원인과 치료법은 무엇인가
- 발바닥 통증 원인과 완화 방법은
- 방광염 증상과 치료법 재발 방지 비법은?
- 기아 타스만 가격과 특징은 무엇인가
- 2025 백상 인기상 투표 참여 방법은
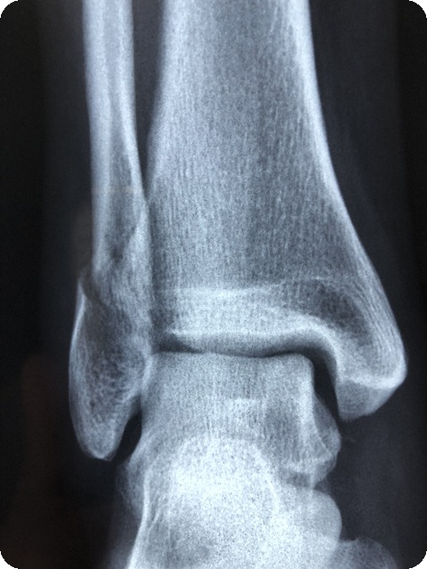
발목 염좌의 정의와 증상
발목 염좌는 흔하게 발생하지만, 그 증상과 치료에 대한 이해는 되고 있는지 궁금한 점들이 많은 부상입니다. 이번 섹션에서는 발목 염좌의 정의와 주요 증상, 그리고 단계별로 평가하는 방법에 대해 알아보겠습니다.
발목 염좌란 무엇인가
발목 염좌는 일반적으로 발목 관절을 지탱하는 인대가 외부의 힘에 의해 늘어나거나 찢어지는 부상을 의미합니다. 발목 주변의 인대는 뼈와 뼈를 연결하여 관절의 안정성을 유지하는 역할을 합니다. 발목이 비정상적으로 꺾이거나 돌아갈 때, 이러한 인대에 과도한 스트레스가 가해져 염좌가 발생하게 됩니다.
"발목 염좌는 스포츠 활동이나 일상생활에서 매우 흔하게 발생하며, 그로 인해 심각한 통증과 불편을 동반할 수 있습니다."
의학적으로는 발목 염좌가 발목 관절의 인대에 손상이 발생하며, 보통 외측 인대인 전거비인대, 종비인대, 후거비인대 중 하나 이상이 손상되는 상태를 의미합니다.
주요 증상 및 단계별 평가
발목 염좌의 증상은 손상된 인대의 종류와 상태에 따라 차이가 있으며, 일반적으로 다음과 같은 단계로 분류할 수 있습니다:
| 단계 | 염좌의 증상 및 설명 |
|---|---|
| 1도 | 인대가 약간 늘어난 상태로 경미한 통증과 부종이 나타납니다. 일상생활에는 큰 지장이 없지만, 약간의 불편함을 느낄 수 있습니다. |
| 2도 | 인대의 일부가 찢어진 상태로, 중등도의 통증과 부종이 발생합니다. 발목을 움직이기 어려워지고 체중을 싣기 힘들어질 수 있으며, 멍이 드는 경우도 있습니다. |
| 3도 | 인대가 완전히 찢어진 상태로 심한 통증과 부종이 나타납니다. 발목이 불안정하게 느껴지고 체중을 전혀 실을 수 없습니다. 멍이 심하게 들고 관절이 헐거운 느낌이 들 수 있습니다. |
각 단계마다 적절한 치료와 관리가 필요하며, 만약 염좌가 발생했다면 즉시 휴식과 냉찜질 및 압박를 통해 초기 대응하는 것이 중요합니다. 발목 염좌는 쉽게 발생할 수 있는 부상이지만, 예방과 적절한 관리만큼 중요한 것은 없음을 잊지 말아야 합니다.

발목 염좌 발생 원인과 위험 요인
발목 염좌는 비교적 흔한 부상으로, 누구나 한 번쯤 그 경험이 있을 것입니다. 그러나 발목의 건강을 유지하는 것은 종종 간과되곤 합니다. 이번 섹션에서는 발목 염좌의 주요 발생 원인과 위험 요인을 자세히 다루어 보도록 하겠습니다.
주요 원인 분석
발목 염좌의 발생 원인은 여러 가지가 있습니다. 아래는 가장 일반적인 원인입니다.
| 원인 | 설명 |
|---|---|
| 스포츠 활동 | 농구, 축구와 같은 스포츠에서는 갑작스러운 방향 전환이 잦아 발목에 큰 부담을 줍니다. 전체 염좌의 약 40%는 스포츠와 관련이 있습니다. |
| 일상생활 | 고르지 못한 지면이나 미끄러운 바닥에서의 보행은 발목 염좌를 유발할 수 있습니다. 특히 하이힐을 자주 신는 여성에게 주의가 필요합니다. |
| 사고 | 교통사고나 낙상으로 인해 발목에게 직접적인 충격이 가해질 때도 염좌가 일어날 수 있습니다. |
"스포츠 활동 중 발생하는 염좌는 준비 운동 부족이나 기술 부족이 가장 큰 원인이다."
주변 환경이나 자신이 처한 상황에 따라 발목 염좌는 언제든지 발생할 수 있으므로, 각자 주의가 필요합니다.
위험 요인과 예방 조치
발목 염좌 발생의 위험 요인을 이해하고 사전에 예방하는 것이 중요합니다. 여기에 대한 주요 내용은 다음과 같습니다.
-
과거 염좌 경험: 한 번 이상의 발목 염좌를 경험한 사람은 재발 가능성이 높습니다. 손상된 인대가 완전히 회복되지 않을 수 있기 때문에, 더욱 주의해야 합니다.
-
부적절한 신발: 적절한 지지력이 없는 하이힐이나 축구화, 농구화와 같은 신발은 발목 안정성을 저해합니다.
-
근력 약화 및 유연성 부족: 발목과 연결된 근육이 약하면 발목을 제대로 지지하지 못해 염좌가 발생할 위험이 커집니다.
-
불안정한 보행 습관: 불안정한 자세로 걷거나, 균형 감각이 떨어진다면 발목에 가해지는 부담이 증가하게 됩니다.
-
체중: 과체중은 발목에 가해지는 하중을 증가시켜 발목 염좌의 위험을 높입니다.
-
환경적 요인: 고르지 못한 지면이나 미끄러운 바닥 등은 발목 염좌의 위험을 높이는 요소입니다.
-
피로: 피로는 근육의 반응 속도를 떨어뜨리고, 균형 감각을 저하시켜 염좌 발생을 유발할 수 있습니다.
효과적인 예방 조치로는 지속적인 발목 근력을 강화하기 위한 운동과 적절한 신발 착용이 포함됩니다. 또한, 발목을 지지하는 보조기구 착용도 도움이 될 수 있습니다. 발목 염좌를 미리 예방하기 위해 아래와 같은 방법들을 수행하는 것이 좋습니다:
-
적절한 스트레칭: 운동 전후로 발목과 주변 근육의 스트레칭을 충분히 해야 합니다.
-
환경 확인: 걸어 다닐 때 고르지 못한 지면이나 미끄러운 바닥을 피하십시오.
-
체중 관리: 적절한 체중을 유지함으로써 발목에 가해지는 부담을 줄이십시오.
건강한 발목을 위해 위의 정보를 잘 기억하시고, 꾸준한 관리와 예방 노력을 기울이시길 바랍니다.

효과적인 치료 방법과 응급처치
발목 염좌는 일상생활에서 누구나 경험할 수 있는 부상 중 하나입니다. 적절한 초동 대응과 치료법을 이해하는 것이 회복 속도를 높이고 후유증을 예방하는 데 중요한 역할을 합니다. 이번 섹션에서는 초기 대응 방법과 약물 및 물리 치료에 대해 자세히 살펴보도록 하겠습니다.
초기 대응 방법
발목 염좌가 발생하면, 가장 중요하게 고려해야 할 점은 ‘PRICE 요법’입니다. PRICE는 보호(Protection), 휴식(Rest), 냉찜질(Ice), 압박(Compression), 거상(Elevation)의 첫 글자를 딴 응급처치 방법입니다.
| 방법 | 설명 |
|---|---|
| 보호 (Protection) | 다친 발목을 부목이나 보조기로 안정시키고 추가 손상을 예방합니다. |
| 휴식 (Rest) | 움직임을 최소화하고 편안한 자세로 발목을 쉴 수 있도록 돕습니다. |
| 냉찜질 (Ice) | 얼음주머니로 냉찜질하여 통증과 염증을 줄이는 데 효과적입니다. 하루에 2~3회 15~20분씩 적용하세요. |
| 압박 (Compression) | 적절한 압박붕대를 사용해 부종을 줄이고 안정감을 더합니다. |
| 거상 (Elevation) | 발목을 심장보다 높게 올리는 것이 부종을 감소시키는 데 도움을 줍니다. |
“발목 염좌의 초기 대응이 중요한 이유는 회복을 가속화하고 만성적인 문제로 발전하는 것을 예방할 수 있기 때문입니다.”
약물과 물리 치료
발목 염좌의 통증과 염증을 완화하기 위해 약물 치료와 물리 치료가 효과적입니다.
약물 치료
약물 치료는 통증을 완화하고 염증을 억제하는 데 도움을 줍니다. 비스테로이드성 소염제(NSAIDs)인 이부프로펜이나 나프록센을 고려할 수 있으며, 아세트아미노펜 또한 통증 완화에 유효합니다. 세심한 주의가 필요하지만, 이러한 약물 치료는 손상된 조직의 근본적인 회복과는 관련이 없으므로 추가적인 물리 치료와 병행하는 것이 이상적입니다.
물리 치료
물리 치료는 발목의 기능 회복과 통증 완화에 중요한 역할을 합니다. 여러 가지 방법이 사용되며, 환자의 상태에 따라서 적절한 치료 방법이 결정됩니다.
- 초음파 치료: 조직의 온도를 높이고 혈액순환을 촉진하여 회복을 돕습니다.
- 전기 자극 치료(TENS): 근육을 자극하여 통증을 완화하고 근력을 강화합니다.
- 재활 운동: 발목의 근력과 균형 감각을 높이기 위한 여러 운동이 포함됩니다.
발목 염좌가 발생했을 때는 신속한 응급처치와 적절한 치료 방법을 통해 완전한 회복을 이루는 것이 매우 중요합니다. 발목 건강을 위해서 초기 치료와 예방에 항상 신경 쓰는 것이 필요합니다.

재활 운동으로 발목 강화하기
발목 염좌는 흔한 부상이지만, 우리가 간과할 수 있는 중요성이 뒤따릅니다. 이를 예방하고 이후 강한 발목을 유지하기 위해서는 재활 운동이 필수입니다. 이번 섹션에서는 재활 운동의 중요성과 근력 및 균형 감각 훈련에 대해 깊이 살펴보겠습니다.
재활 운동의 중요성
발목 염좌 후에는 주변 근육이 약화되고 평형 감각이 떨어지기 때문에, 재활 운동을 통해 이러한 변화를 회복하는 것이 중요합니다. 적절한 재활 운동 없이는 만성적인 발목 불안정성으로 이어질 수 있으며, 이는 나중에 더 큰 문제로 발전할 수 있습니다.
"재활 운동은 부상의 회복뿐만 아니라, 재발 방지에도 결정적인 역할을 합니다."
재활 운동을 통해 얻는 주요 이점은 다음과 같습니다:
| 이점 | 설명 |
|---|---|
| 근력 강화 | 발목 주변 근육을 강화하여 안정성을 높여줍니다. |
| 유연성 증가 | 스트레칭을 통해 근육의 유연성을 증가시켜 부상을 예방합니다. |
| 균형 감각 개선 | 균형 감각 운동을 통해 발목의 안정성을 높여줍니다. |
| 회복 속도 향상 | 체계적인 재활 운동은 회복 기간을 단축시킵니다. |
발목을 강화하기 위한 재활 운동 계획을 세우는 것은 각 개인의 현재 상태에 따라 달라질 수 있지만, 꾸준함이 가장 중요한 요소입니다.
근력 및 균형 감각 훈련
발목을 강하게 만들기 위해서는 근력과 균형 감각 훈련이 필요합니다. 다음과 같은 기본 운동을 추천합니다:
- 발목 돌리기: 부드럽고 반복적으로 발목을 회전시켜 유연성을 높이는 운동입니다.
- 발가락 들어 올리기: 무릎을 고정하고 발가락으로 수건을 집어 올리는 운동으로, 발목 근육을 강화할 수 있습니다.
- 균형 잡기: 한 발로 서서 균형을 잡는 연습을 통해 발목 안정성을 높이고, 불안정한 보행을 예방할 수 있습니다.
- 짐볼 운동: 짐볼 위에서 균형을 잡는 것은 근육과 신경 조화를 훈련하는 데 효과적입니다.
이 운동들은 통증이 없는 범위 내에서 진행해야 하며, 운동 강도를 점차적으로 증가시키는 것이 좋습니다. 균형 감각 훈련은 특히 발목 부상의 재발률을 줄이는 데 큰 역할을 합니다.
발목 염좌는 누구에게나 발생할 수 있는 흔한 문제가 아닙니다. 그러나 체계적인 재활 운동과 함께 개선된 일상 습관에 힘쓸 경우 보다 건강하고 튼튼한 발목을 유지할 수 있습니다. 발목 건강을 위한 지속적인 노력과 관심이 여러분의 운동 능력과 일상 생활의 질을 높이는 데 기여할 것입니다.
생활 습관 개선으로 예방하기
우리의 일상 속에서 발목 염좌는 누구에게나 발생할 수 있는 흔한 부상입니다. 이를 예방하기 위해서는 몇 가지 생활 습관 개선에 힘써야 합니다. 아래 두 가지 주제를 통해 발목 건강을 유지하는 방법을 알아보겠습니다.
올바른 신발과 스트레칭
발목을 보호하기 위해서는 적절한 신발 선택이 필수적입니다. 굽이 높은 신발이나 지지력이 약한 신발은 발목의 안정성을 떨어뜨려 염좌의 위험을 증가시킵니다. 따라서 편안하고 지지력이 좋은 신발을 선택하는 것이 중요합니다. 특히 운동을 할 때는 해당 운동에 맞는 신발을 착용해야 부상의 가능성을 줄일 수 있습니다

.
또한, 스트레칭은 발목 주변 근육의 유연성을 유지하고 강화하는 데 필수적입니다. 운동 전후에 충분한 스트레칭을 통해 운동 범위를 늘리고, 근육을 이완시킬 수 있습니다. 기본적인 아킬레스건 스트레칭은 필수입니다. 발목을 부드럽게 사용하는 것이 중요하니, 항상 준비 운동을 잊지 마세요.
“좋은 신발과 스트레칭은 발목 건강의 시작입니다.”
체중 관리 및 올바른 자세
발목 건강을 지키기 위해서는 체중 관리가 매우 중요합니다. 과체중은 발목에 가해지는 하중을 증가시켜 염좌의 위험을 높입니다. 건강한 식습관을 유지하고, 규칙적인 운동을 통해 적절한 체중을 관리하는 것이 필요합니다. 더불어 아래의 표는 체중 관리의 중요성을 보여줍니다.
| 체중 변화 | 발목 하중 증가율 |
|---|---|
| 0kg | 0% |
| 5kg | 10% |
| 10kg | 20% |
| 15kg | 30% |
올바른 자세 또한 발목 건강에 기여합니다. 일상생활에서 바른 자세를 유지하고, 특히 걷거나 서 있을 때 발목에 무리를 주지 않도록 신경 쓰는 것이 중요합니다. 발목에 안정성을 더해주는 습관을 기르세요.
결국, 지속적인 생활 습관 개선이 발목 염좌 예방의 핵심입니다. 건강한 발목을 지키기 위한 노력을 통해 우리는 일상에서의 불편함을 줄일 수 있습니다.